多生牙怎么辦?因為每個人的口腔是不一樣的,所以長出來的牙齒也是不一樣的,其中最為明顯的一個就是多生牙,那么多生牙怎么辦呢?下面我們就請昌吉檸溪佳美門診口腔專家來為大家介紹。

多生牙讓小孩哭鬧
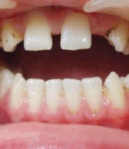
多生牙又名額外牙,全口牙齒除了20個乳牙和32個恒牙外,多生的牙齒叫做額外牙。其數目可為2~3或5~6個不等。形狀多呈圓柱形或圓錐形,也有近似正常牙形者。
多生牙一般是在兒童換牙時長出,它的長出常使恒牙不能順利萌出。即使勉強萌出,也是排列不齊,擁擠不堪,容易藏食物殘渣,給齲齒、牙釀炎的發生創造了條件。此外,它還常有孿生者,它們的形狀可以一模一樣,據統計大約在1000個孩子中,有4-10個長有多生牙。在拌有胯裂等畸形的病兒中,多生牙的發病率可高達37%。
多生牙主要影響恒牙的發育和牙列的排列,造成牙齒阻生、使其不能正常萌出、引起恒牙遲萌;萌出障礙、阻擋牙齒排列到正常位置;牙齒排列不整齊、出現牙間縫隙、移位、扭轉等,影響美觀。如能早期發現、及時拔除多生牙,會減少其對恒牙列的影響。
多生牙怎么辦,鑒于多生牙會影響牙齒排列,影響日常口腔清潔導致齲齒等的發生,還會導致臉型變大,顯胖等,因此,專家建議大家,最好拔出多生牙。